Skip to content

Resource Center

Explore downloadable BioProtect information.

Imaging Library

Procedural images below show placement and prostate–rectum separation. Illustrative examples based on clinical imaging from actual cases. Individual results vary.

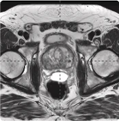
BioProtect 215cc Prostate

215 cc Prostate Post-MRI showing BioProtect Balloon Spacer, prostate, and rectum.
Post-MRI
Image courtesy of Dr. Shawn Zimberg, Radiation Oncologist.
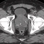
215 cc prostate post-CT showing BioProtect Balloon Spacer, prostate, and rectum.
Post-CT
Image courtesy of Dr. Shawn Zimberg, Radiation Oncologist.

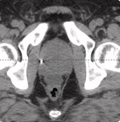
BioProtect 161cc Prostate

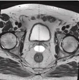
161 cc prostate post-MRI showing BioProtect Balloon Spacer, prostate, and rectum.
Post-MRI
Image courtesy of Dr. Shawn Zimberg, Radiation Oncologist.
215 cc prostate post-CT showing BioProtect Balloon Spacer, prostate, and rectum.
Post-CT
Image courtesy of Dr. Shawn Zimberg, Radiation Oncologist.

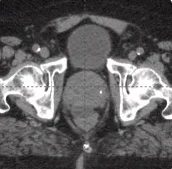
BioProtect 143cc Prostate

143 cc prostate post-MRI showing BioProtect Balloon Spacer, prostate, and rectum.
Post-MRI
Image courtesy of Dr. Shawn Zimberg, Radiation Oncologist.
143 cc prostate post-CT showing BioProtect Balloon Spacer, prostate, and rectum.
Post-CT
Image courtesy of Dr. Shawn Zimberg, Radiation Oncologist.

BioProtect 169cc Prostate

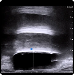
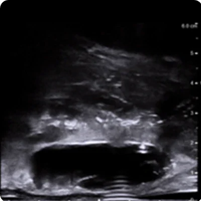
169 cc prostate ultrasound saggital view showing BioProtect Balloon Spacer, prostate, and rectum.
Saggital Ultrasound
Image courtesy of of Dr. Vishesh Agarwal, Radiation Oncologist.
169 cc prostate ultrasound axial view showing BioProtect Balloon Spacer, prostate, and rectum.
Axial Ultrasound
Image courtesy of of Dr. Vishesh Agarwal, Radiation Oncologist.
169 cc prostate post-MRI showing BioProtect Balloon Spacer, prostate, and rectum.
Post-MRI
Image courtesy of Dr. Vishesh Agarwal, Radiation Oncologist.
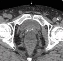
169cc prostate post-CT showing BioProtect Balloon Spacer, prostate, and rectum.
Post-CT
Image courtesy of Dr. Vishesh Agarwal, Radiation Oncologist.

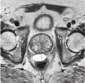
BioProtect 25cc Prostate

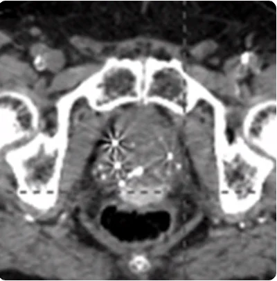
25 cc prostate post-MRI showing BioProtect Balloon Spacer, prostate, and rectum. Patient received prior ADT.
Post-MRI
Patient received prior ADT. Image courtesy of Dr. Stan Golin, Radiation Oncologist.
25 cc prostate post-CT showing BioProtect Balloon Spacer, prostate, and rectum. Patient received prior ADT.
Post-CT
Patient received prior ADT. Image courtesy of Dr. Stan Golin, Radiation Oncologist.

BioProtect 20cc Prostate

20 cc prostate post-MRI showing BioProtect Balloon Spacer, prostate, and rectum.
Post-MRI
Image courtesy of Dr. Stan Golin, Radiation Oncologist.
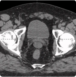
20 cc prostate post-CT showing BioProtect Balloon Spacer, prostate, and rectum.
Post-CT
Image courtesy of Dr. Stan Golin, Radiation Oncologist.

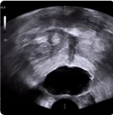
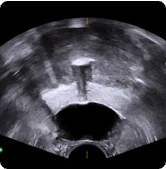
Salvage Placement & Separation

Procedural scan showing placement of the BioProtect Balloon Spacer in a salvage case. Axial view.
Axial Ultrasound
Image courtesy of Dr. Neil Wijetunga, Radiation Oncologist.
Procedural scan showing placement of the BioProtect Balloon Spacer in a salvage case. Saggital view.
Saggital Ultrasound
Image courtesy of Dr. Neil Wijetunga, Radiation Oncologist.
Procedural scan showing placement of the BioProtect Balloon Spacer in a salvage case. CT scan.
CT Scan
Image courtesy of Dr. Stan Golin, Radiation Oncologist.
Procedural scan showing placement of the BioProtect Balloon Spacer in a salvage case. Saggital view.
Saggital Ultrasound
Image courtesy of Dr. Stan Golin, Radiation Oncologist.

Consistency Across Providers

Axial view of BioProtect Balloon Spacer from physician one.
Physician 1 Axial Ultrasound
Image courtesy of Dr. Shawn Zimberg, Radiation Oncologist.
Saggital view of BioProtect Balloon Spacer from physician one.
Physician 1 Saggital Ultrasound
Image courtesy of Dr. Shawn Zimberg, Radiation Oncologist.
Axial view of BioProtect Balloon Spacer from physician two.
Physician 2 Axial Ultrasound
Image courtesy of Dr. Vishesh Agarwal. Radiation Oncologist.
Saggital view of BioProtect Balloon Spacer from physician two.
Physician 2 Saggital Ultrasound
Image courtesy of Dr. Vishesh Agarwal. Radiation Oncologist.
Axial view of BioProtect Balloon Spacer from physician three.
Physician 3 Axial Ultrasound
Image courtesy of Dr. James Bennett, Urologist.
Saggital view of BioProtect BalloonSpacer from physician three.
Physician 3 Saggital Ultrasound
Image courtesy of Dr. James Bennett, Urologist.
Axial view of BioProtect Balloon Spacer from physician four.
Physician 4 Axial Ultrasound
Image courtesy of Dr. Dean Laganosky, Urologist.
Saggital view of BioProtect BalloonSpacer from physician four.
Physician 4 Saggital Ultrasound
Image courtesy of Dr. Dean Laganosky, Urologist.

Physician Insights

Masterclasses

Episode 1: Lessons from 750+ BioProtect Balloon Procedures
Presenter: Dr. Shawn Zimberg, Radiation Oncologist
Episode 2: A Urologist’s Perspective on the BioProtect Balloon
Presenter: Dr. Dean Laganosky, Urologist
Episode 3: Quality of Life Data Review
Presenter: Dr. Jonathan Tward, Radiation Oncologist
Episode 4: Space Matters in Prostate SBRT
Presenter: Dr. Edward Soffen, Radiation Oncologist

Downloads

BioProtect Informational Handout
Clinical Evidence One-Pager
Quality of Life One-Pager

Get in Touch

Looking for more information? Contact a BioProtect representative to discuss the BioProtect Balloon Spacer.